
Natalia Plotnikova, BS and Jami L. Miller, MD
Division of Dermatology, Department of Medicine, Vanderbilt University, Nashville, TN, USA
ABSTRACT
Dermatitis herpetiformis (DH) is an autoimmune, pleiomorphic, papulovesicular disorder associated with celiac disease and gluten sensitivity. DH is characterized by subepidermal bullae on hematoxylin and eosin staining and granular immunoglobulin A deposits in the dermal papillae using the direct immunofluorescence method. Antibodies to tissue transglutaminase and epidermal transgulatminase can be measured serologically, although biopsy is still required for definitive diagnosis of DH. Gluten free diet (GFD) is the first-line therapeutic approach that can alleviate both cutaneous and intestinal manifestations of this condition, while dapsone and sulfones target the skin eruption only. Combined therapy with GFD and dapsone is an initial treatment of choice to control the cutaneous manifestations of DH. This article will provide a comprehensive review of DH, including its epidemiology, clinical and pathological findings, diagnostic evaluation, and management.
Key Words:
autoimmune, celiac disease, dapsone, dermatitis herpetiformis, gluten free diet, IgA granular deposits
Introduction
Dermatitis herpetiformis (DH), a cutaneous manifestation of celiac disease (CD), was first described by Louis Adolphus Duhring in 1884.1 DH is a chronic, polymorphous, pruritic skin disease with a male predominance of 1.44:1 to 2:1 that generally presents in the fourth decade, although it has been reported in patients as young as 2 and as old as 90 years of age.2,3 DH is most common in Caucasians of northern European descent with a prevalence of 11.2 and an incidence of 0.98% per 100,000 people.2 Cutaneous manifestations include grouped papulovesicles on an erythematous base with excoriations, crusts, and occasional lichenification due to scratching. Symmetric distribution on the extensor surfaces of the elbows and knees, back, scalp (often posterior hairline) and buttocks is most common (Figure 1). Less often, purpura can be present on fingers and toes.4
![]() |
| Figure 1: Symmetric excoriated papules on the lower back. |
Pathology and Diagnosis
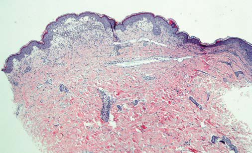
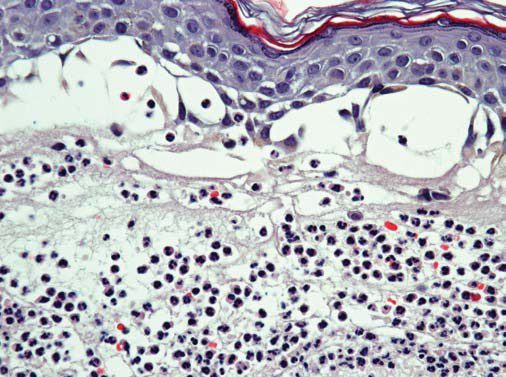
Characteristically, a biopsy taken from an area near an active DH lesion will show a neutrophilic infiltrate within the dermal papillae and a subepidermal blister with neutrophils (if intact vesicle was captured), as well as a superficial perivascular lymphocytic infiltrate (Figure 2). Direct immunofluorescence reveals granular immunoglobulin A (IgA) deposits, compared to linear IgA deposits in linear IgA bullous dermatosis (Figure 3). Eighty-five percent of deposits are located in dermal papillae or, less commonly, along the basement membrane in granular or fibrillar patterns.5,6 Biopsy and direct immunofluorescence are often required for a definitive diagnosis considering the various clinical presentations of DH. In view of the hardship for a patient that is imposed by the restrictive diet and rigorous treatment regiment, a correct diagnosis is very important.
![]() |
| Figure 2A: Light microscopy at low power magnification shows subepidermal bullae accentuated within dermal papillae. |
![]() |
| Figure 2B: Light microscopy at high power magnification shows subepidermal bullae with numerous neutrophils. |
Serologic studies are also helpful in the diagnosis of DH. Direct immunofluorescence tests for anti-endomysium antibodies have high specificity and moderate sensitivity. Anti-tissue transglutaminase (tTG) or transglutaminase 2 (TG2) IgA is an enzyme-linked immunosorbent assay (ELISA) test with reported specificity of 97.6 to 100% and sensitivity of 48.8 to 89.1%.7,8 A more recent ELISA test for anti-epidermal transglutaminase (eTG) or transglutaminase 3 (TG3) IgA provides even higher sensitivity of 60 to 80.8% and comparable specificity of 92.8 to 100%.7,9 eTG was also shown to be detected for longer periods of time while on a gluten free diet (GFD) compared to tTG.9 At this point, serologic testing does not replace a biopsy; however, it provides valuable information. Tests for both types of TG antibodies correlate with intestinal involvement by disease and all three tests can be used to monitor compliance with a strict GFD.7,9,10 Laboratory testing of total IgA immunoglobulin levels can be monitored but there is an increased prevalence of partial IgA deficiency in DH patients (10-15 times more in CD than in the general population).11 Human leukocyte antigen (HLA) haplotype testing is not routinely recommended at this time but could be considered if other evaluations are equivocal. HLA-DQ2, present in 95% of DH patients, and DQ8 are associated with DH with high negative predictive value but low specificity considering the high prevalence of these haplotypes in the general population.12
While present in more than 90% of CD cases, DH is also observed in other autoimmune conditions, such as Hashimoto’s thyroiditis, and, less often, other thyroid dysfunctions.13,14 It has also been reported in patients with Sjögren’s syndrome, rheumatoid arthritis, sarcoidosis, lupus erythematosus, type I diabetes, vitiligo, primary biliary cirrhosis, pernicious anemia, alopecia areata, and Addison’s disease.15-18 Patients with DH have a higher incidence of non-Hodgkin’s lymphomas compared to the general population, although no increase in mortality from cancer has been documented.19,20 The risk of lymphoma appears to be reduced with a strict GFD.21 Upon DH diagnosis, screening for thyroid disease, anti-thyroid peroxidase antibody titers and blood glucose are recommended.7 Workup for rheumatologic and connective tissue conditions should also be considered, especially with pertinent systemic symptoms.7
![]() |
| Figure 3: Direct immunofluorescence shows granular IgA deposits at the tips of dermal papillae. |
Therapy
A strict GFD is the first-line treatment in DH and the only therapy that can improve the intestinal disease. This involves avoidance of wheat, barley, rye, and their byproducts. The degree to which the patient’s condition improves is inversely correlated with the amount of gluten consumed.22 However, it generally takes several months to years for the cutaneous symptoms to improve if the disease is treated by dietary means alone.23 GFD was also shown to reduce the incidence of small bowel lymphoma. About 12 to 18% of patients experience long-term remission and in this cohort the GFD may be discontinued.24,25
Dapsone is the major medical treatment for DH. Compared to GFD, dapsone induces an acute response in DH eruption as early as 24 hours. Dapsone dose ranges from 25 to 400 mg, with the average dose of 100 mg per day.26 While dapsone inhibits neutrophil chemotaxis and IL-8 release, it does not seem to affect cutaneous complement deposition.27,28 Glucose-6-phosphate dehydrogenase (G6PD) levels should be checked in all patients prior to initiating dapsone, since the medication cannot be used in individuals with this enzyme deficiency due to severe hemolytic anemia. Some degree of hemolytic anemia and methemoglobinemia occurs in most people taking dapsone but generally does not require specific treatment. Ascorbic acid, vitamin E and cimetidine at 400 mg three times daily were shown to counteract drug-induced methemoglobinemia.29,30 Other side effects of dapsone include leukopenia, agranulocytosis, dapsone hypersensitivity syndrome, cutaneous drug reactions, liver abnormalities, peripheral neuropathy, nephrotic syndrome and pulmonary abnormalities.31 Baseline complete blood count (CBC) with differential, renal and liver function tests, and urinalysis should be checked.5 Afterwards, monitoring of CBC is recommended to be performed weekly for 1 month, then every other week for 1 month and later every 3 to 4 months.26 The therapy should be discontinued if white blood cell count falls below 4000 cells/mm3.7 Signs of peripheral motor neuropathy should be evaluated on physical exam. Liver and renal function tests should be checked every 3 months or if symptoms of dysfunction are apparent.26 Most often, a combined therapy of GFD and dapsone is needed to address both acute cutaneous manifestations and provide long-term control, with gradual reduction in dose or complete weaning of dapsone over a few months. Provided strict compliance with GFD, 85% of patients are able to reduce their dapsone dose by half or more, or even discontinue it completely.7
Other sulfones, although less effective then dapsone, can be used in patients with DH.32 Sulfasalazine is the most readily available medication of this class in the United States, with sulfapyridine being only accessible at certain locations.26 Doses of 2 to 4 g/day of sulfasalazine or 1 to 2 g/day of sulfapyridine are used.26
If not controlled adequately by antihistamines, oral steroids, while not an effective chronic therapy, could help alleviate intense pruritus in acute flares.33 There are case reports indicating a positive response to cyclosporine, colchicines, heparin, tetracycline, and nicotinamide.34-36 Other immunosuppressants, such as azathioprine, are rarely needed.
Overall, a multidisciplinary approach is beneficial with involvement of a dermatologist and dietician, as well as potentially a gastroenterologist and rheumatologist. Patients can also be directed to the Celiac Disease Foundation and the Gluten Intolerance Group for additional support and dietary advice.
Conclusion
DH is a chronic waxing and waning cutaneous manifestation of CD associated with gluten sensitivity. It presents on extensor surfaces with intensely pruritic papulovesicles, with excoriations and crusting and a corresponding neutrophilic infiltration of dermal papillae and granular IgA deposits on direct immunofluorescence. Serologic test for eTG provides the highest sensitivity and good specificity when compared to tTG and anti-endomysium antibodies, although biopsy is still needed for definitive diagnosis. Generally, DH has a good prognosis with combined initial therapy of GFD and dapsone, usually progressing to dose reduction after a few months. Close monitoring for dapsone toxicities and autoimmune conditions associated with DH is indicated. An inter-professional team involving a dermatologist and dietician, as well as potentially a gastroenterologist and rheumatologist is ideal.
References
- Duhring LA. Dermatitis herpetiformis. JAMA 1983 Jul;250(2):212-6.
- Smith JB, Tulloch JE, Meyer LJ, et al. The incidence and prevalence of dermatitis herpetiformis in Utah. Arch Dermatol. 1992 Dec;128(12):1608-10.
- Bolotin D, Petronic-Rosic V. Dermatitis herpetiformis. Part I. Epidemiology, pathogenesis, and clinical presentation. J Am Acad Dermatol. 2011 Jun;64(6):1017-24.
- Kárpáti S. Dermatitis herpetiformis. Clin Dermatol. 2012 Jan-Feb;30(1):56-9.
- Junkins-Hopkins JM. Dermatitis herpetiformis: pearls and pitfalls in diagnosis and management. J Am Acad Dermatol. 2010 Sep;63(3):526-8.
- Zone JJ, Meyer LJ, Petersen MJ. Deposition of granular IgA relative to clinical lesions in dermatitis herpetiformis. Arch Dermatol. 1996 Aug;132(8):912-8.
- Bolotin D, Petronic-Rosic V. Dermatitis herpetiformis. Part II. Diagnosis, management, and prognosis. J Am Acad Dermatol. 2011 Jun;64(6):1027-33.
- Dieterich W, Laag E, Bruckner-Tuderman L, et al. Antibodies to tissue transglutaminase as serologic markers in patients with dermatitis herpetiformis. J Invest Dermatol. 1999 Jul;113(1):133-6.
- Rose C, Armbruster FP, Ruppert J, et al. Autoantibodies against epidermal transglutaminase are a sensitive diagnostic marker in patients with dermatitis herpetiformis on a normal or gluten-free diet. J Am Acad Dermatol. 2009 Jul;61(1):39-43.
- Borroni G, Biagi F, Ciocca O, et al. IgA anti-epidermal transglutaminase autoantibodies: a sensible and sensitive marker for diagnosis of dermatitis herpetiformis in adult patients. J Eur Acad Dermatol Venereol. 2012 Jun 2. [Epub ahead of print]
- Samolitis NJ, Hull CM, Leiferman KM, et al. Dermatitis herpetiformis and partial IgA deficiency. J Am Acad Dermatol. 2006 May;54(5 suppl):S206-9.
- Kárpáti S. Dermatitis herpetiformis: close to unravelling a disease. J Dermatol Sci. 2004 Apr;34(2):83-90.
- Gaspari AA, Huang CM, Davey RJ, et al. Prevalence of thyroid abnormalities in patients with dermatitis herpetiformis and in control subjects with HLA-B8/-DR3. Am J Med. 1990 Feb;88(2):145-50.
- Cunningham MJ, Zone JJ. Thyroid abnormalities in dermatitis herpetiformis. Prevalence of clinical thyroid disease andthyroid autoantibodies. Ann Intern Med. 1985 Feb;102(2):194-6.
- Reunala T, Collin P. Diseases associated with dermatitis herpetiformis. Br J Dermatol. 1997 Mar;136(3):315-8.
- Hervonen K, Viljamaa M, Collin P, et al. The occurrence of type 1 diabetes in patients with dermatitis herpetiformis and their first-degree relatives. Br J Dermatol. 2004 Jan;150(1):136-8.
- Reunala T, Salmi J, Karvonen J. Dermatitis herpetiformis and celiac disease associated with Addison’s disease. Arch Dermatol. 1987 Jul;123(7):930-2.
- Walton C, Walton S. Primary biliary cirrhosis in a diabetic male with dermatitis herpetiformis. Clin Exp Dermatol. 1987 Jan;12(1):46-7.
- Viljamaa M, Kaukinen K, Pukkala E, et al. Malignancies and mortality in patients with coeliac disease and dermatitis herpetiformis: 30-year population based study. Dig Liver Dis. 2006 Jun;38(6):374-80.
- Grainge MJ, West J, Solaymani-Dodaran M, et al. The long-term risk of malignancy following a diagnosis of coeliac disease or dermatitis herpetiformis: a cohort study. Aliment Pharmacol Ther. 2012 Mar;35(6):730-9.
- Lewis HM, Renaula TL, Garioch JJ, et al. Protective effect of gluten-free diet against development of lymphoma in dermatitis herpetiformis. Br J Dermatol. 1996 Sep;135(3):363-7.
- Frodin T, Gotthard R, Hed J, et al. Gluten-free diet for dermatitis herpetiformis: the long-term effect on cutaneous, immunological and jejunal manifestations. Acta Derm Venereol. 1981 Sep;61(5):405-11.
- Nicolas ME, Krause PK, Gibson LE, et al. Dermatitis herpetiformis. Int J Dermatol. 2003 Aug;42(8):588-600.
- Paek SY, Steinberg SM, Katz SI. Remission in dermatitis herpetiformis: a cohort study. Arch Dermatol. 2011 Mar;147(3):301–5.
- Bardella MT, Fredella C, Trovato C, et al. Long-term remission in patients with dermatitis herpetiformis on a normal diet. Br J Dermatol. 2003 Nov;149(5):968-71.
- Cardones AR, Hall RP 3rd. Management of dermatitis herpetiformis. Immunol Allergy Clin North Am. 2012 May;32(2):275-81.
- Zhu YI, Stiller MJ. Dapsone and sulfones in dermatology: overview and update. J Am Acad Dermatol. 2001 Sep;45(3):420-34.
- Schmidt E, Reimer S, Kruse N, et al. The IL-8 release from cultured human keratinocytes, mediated by antibodies to bullous pemphigoid autoantigen 180, is inhibited by dapsone. Clin Exp Immunol. 2001 Apr;124(1):157-62.
- Mehta M. Cimetidine and dapsone-mediated methaemoglobinaemia. Anaesthesia. 2007 Nov;62(11):1188.
- Ward KE, McCarthy MW. Dapsone-induced methemaglobinemia. Ann Pharmacother 1998;32:549-53.
- Zhu YI, Stiller MJ. Dapsone and sulfones in dermatology: overview and update. J Am Acad Dermatol. 2001 Sep;45(3):420-34.
- Paniker U, Levine N. Dapsone and sulfapyridine. Dermatol Clin. 2001 Jan;19(1):79-86.
- Caproni M, Antiga E, Melani L, et al. Guidelines for the diagnosis and treatment of dermatitis herpetiformis. J Eur Acad Dermatol Venereol. 2009 Jun;23(6):633-8.
- Shah SA, Ormerod AD. Dermatitis herpetiformis effectively treated with heparin, tetracycline and nicotinamide. Clin Exp Dermatol. 2000 May;25(3):204-5.
- Stenveld HJ, Starink TM, van Joost T, et al. Efficacy of cyclosporine in two patients with dermatitis herpetiformis resistant to conventional therapy. J Am Acad Dermatol. 1993 Jun; 28(6):1014-5.
- Famaey JP. Colchicine in therapy. State of the art and new perspectives for an old drug. Clin Exp Rheumatol. 1988 Jul-Sep;6(3):305-17.















